С середины 2026 года в Минске искусственный интеллект начнет помогать врачам выявлять туберкулез. Это лишь одно из нововведений белорусской фтизиатрической службы, которая за последние пять лет добилась снижения заболеваемости на 19%, а смертности – до менее одного случая на 100 тысяч населения. О том, как в стране диагностируют и лечат туберкулез, включая лекарственно-устойчивые формы, рассказала директор государственного учреждения “Республиканский научно-практический центр пульмонологии и фтизиатрии”, главный внештатный фтизиатр Минздрава Елена Кроткова.
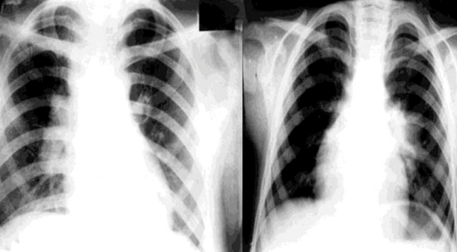
Искусственный интеллект придет на помощь рентгенологам
Уже с середины 2026 года в столичных медучреждениях стартует проект по применению нейросетей при проведении цифровой рентгенографии органов грудной клетки. Искусственный интеллект станет надежным ассистентом врачей: он поможет не пропустить минимальные патологические изменения и обработать огромные массивы данных при массовых профилактических осмотрах.
В дальнейшем планируется использовать ИИ для повышения точности диагностики во всех регионах страны.
Беларусь лидирует по темпам снижения заболеваемости
Как отметила главный фтизиатр, наша страна является абсолютным лидером среди государств СНГ по темпам снижения заболеваемости туберкулезом. За последние пять лет этот показатель снизился на 19%. По итогам 2025 года заболеваемость составила 13,2 случая на 100 тысяч населения.
Особенно впечатляют результаты среди детей: за десять лет заболеваемость снизилась более чем в 10 раз. В прошлом году туберкулез был диагностирован всего у 11 детей (шестерых подростков и пятерых младшего возраста).
Смертность от туберкулеза в Беларуси составляет менее одного случая на 100 тысяч населения. За последний год этот показатель снизился на 18,2%.
Ежегодно в стране выявляется около 400 случаев туберкулеза с лекарственной устойчивостью – однако и с этими формами медики успешно справляются благодаря современным протоколам лечения.
Диагностика за считанные часы
Беларусь стала первой страной в Восточной Европе и Центральной Азии, внедрившей быстрые молекулярно-генетические диагностические тесты. Сегодня в стране работает 54 лаборатории, оснащенных современными анализаторами.

– Для пациента это означает, что результат о наличии ДНК возбудителя можно получить в течение 2–4 часов, а через 40–48 часов будет известна чувствительность к препаратам, – пояснила специалист.
В 2025 году выполнено более 43 тысяч таких исследований. Также внедрено таргетное секвенирование, позволяющее определять устойчивость к новейшим препаратам.
Лечение стало короче
Все медицинские услуги, связанные с профилактикой, диагностикой и лечением туберкулеза, оказываются гражданам Беларуси бесплатно. Государство берет на себя расходы от флюорографии до сложнейших операций и длительной химиотерапии. За последние два года на лекарства и расходные материалы направлено более 6,5 млн рублей.
Внедрение коротких схем лечения позволило сократить его продолжительность с двух лет до пяти с половиной месяцев.
Стратегия до 2030 года: контроль над инфекцией и персонализация
Как отметили в Министерстве здравоохранения, работа службы строится на трех ключевых направлениях: цифровизация, превентивная медицина и персонализация лечения.
Специалисты переходят от стратегии борьбы только с активными формами к тотальному контролю над инфекцией в популяции. Задача – выявить человека, который инфицирован микобактерией, но еще не болен и не опасен для окружающих, и провести курс превентивной терапии. Это позволит снизить риск развития заболевания.